
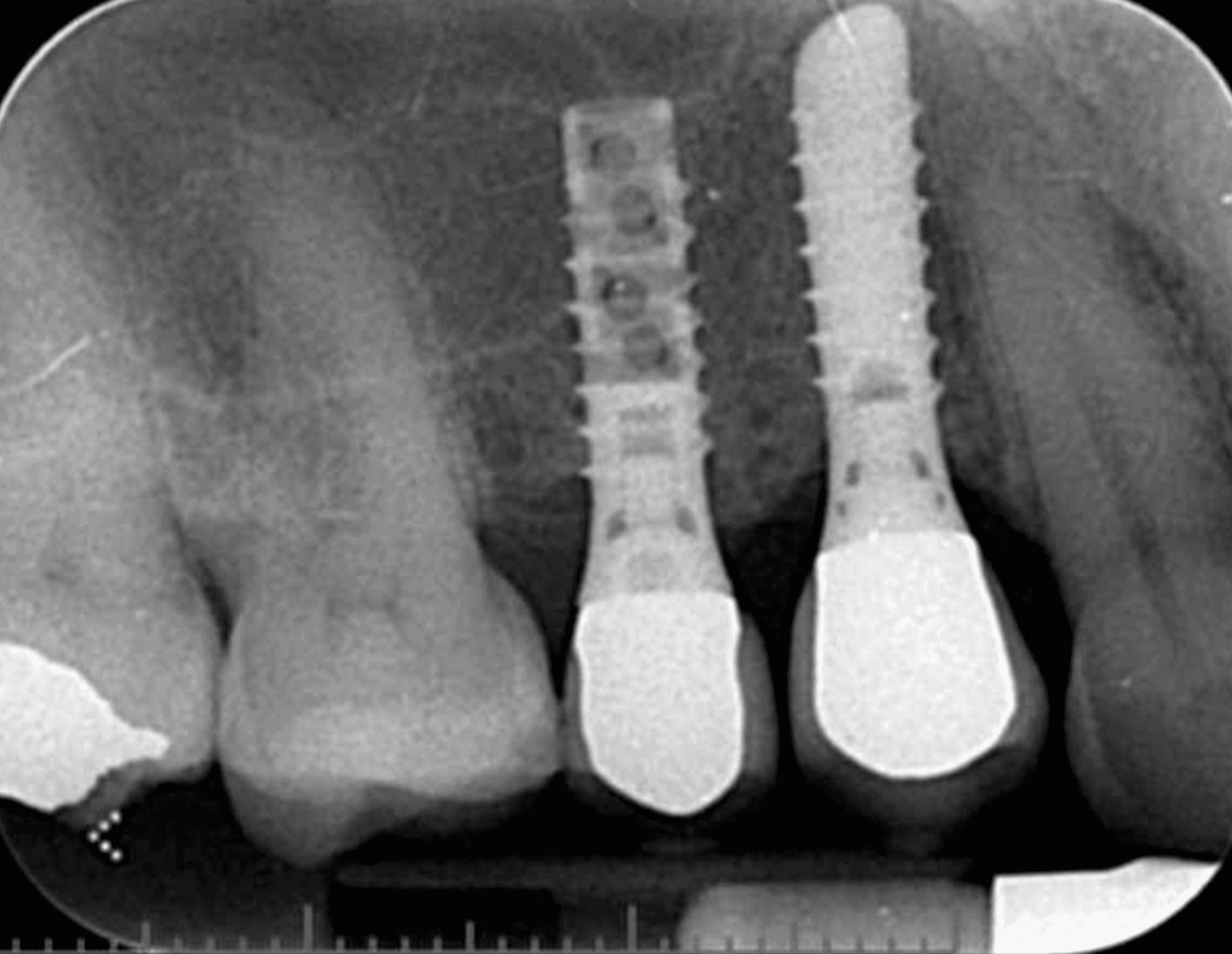
즉시 보철 임플란트
수술 당일, 임시 치아까지 완성하여 바로 일상생활이 가능합니다.

즉시 보철 임플란트는 임플란트 수술 후 잇몸이 아물기를 기다렸다가 보철물을 연결하는 기존 방식과 달리,
임플란트 식립과 동시에 임시 보철물(임시 치아)을 연결하여 바로 외모 개선 및 제한적인 저작 기능을 회복할 수 있도록 하는 치료 방법입니다.

즉시 보철 임플란트의 장점
치료 기간 대폭 단축: 여러 번 내원 NO
즉각 심미성 회복: 앞니 결손도 당일 커버
기능 유지: 부드러운 음식·발음 가능
잇몸 라인 보존: 자연스러운 최종 결과
수술 횟수↓: 발치·식립·임시 치아를 원스톱으로

하루면 끝! 즉시 보철 임플란트로 당일에 자신감과 생활 편의를 동시에 누리세요.

