
진료 과목
자연치아 살리기, 고객과의 약속을 지키겠습니다
자연치아 살리기
고객과의 약속을
지키겠습니다
플란트구강악안면외과치과는 자연치아 보존을 최우선으로 생각하며, 불필요한 발치 없이 치아 수명을 연장하는 보존 치료를 우선합니다.
단순히 치아를 살리는 것보다 '얼마나 오래 건강하게 사용할 수 있는지'를 더욱 중요하게 판단합니다. 예후가 좋은 치아는 정성을 다해 보존 치료에 힘쓰지만, 장기적으로 좋지 않다면 무리하게 살리기보다 더 나은 결과를 위한 치료를 고려합니다. 불가피하게 수술이 필요할 경우, 환자분이 편안하게 최선의 결과를 얻으실 수 있도록 노력합니다. 환자의 입장에서 먼저 생각하는 것, 이것이 플란트구강악안면외과치과의 핵심 진료 철학입니다.
플란트구강악안면외과치과는 자연치아 보존을 최우선으로 생각하며, 불필요한 발치 없이 치아 수명을 연장하는 보존 치료를 우선합니다. 단순히 치아를 살리는 것보다 '얼마나 오래 건강하게 사용할 수 있는지'를 더욱 중요하게 판단합니다. 예후가 좋은 치아는 정성을 다해 보존 치료에 힘쓰지만, 장기적으로 좋지 않다면 무리하게 살리기보다 더 나은 결과를 위한 치료를 고려합니다. 불가피하게 수술이 필요할 경우, 환자분이 편안하게 최선의 결과를 얻으실 수 있도록 노력합니다. 환자의 입장에서 먼저 생각하는 것, 이것이 플란트구강악안면외과치과의 핵심 진료 철학입니다.
플란트구강악안면외과치과는 자연치아 보존을 최우선으로 합니다. 하지만 단순히 살리는 것보다 장기적인 예후를 더 중요하게 판단하여, 보존 치료 또는 더 나은 결과를 위한 수술 등 최선의 방법을 결정합니다. 환자 중심 진료가 저희의 핵심 원칙입니다.

임플란트 수술
임플란트 수술, 왜 플란트구강악안면외과 치과의원일까?

1. 대학병원급 전문성
구강악안면외과 전문의 직접 집도
대학병원 임플란트 센터 근무 경력 → 풍부한 임상 경험
2. 교육·연구 리더십
오스템 임플란트 코스 임상 지도·연구 자문
다수 강의·세미나로 의사 교육 선도
2022 모어덴 커뮤니티 최우수 교육 의사 선정
3. 검증된 실력
임플란트 관련 국내 특허 보유 (10-1736430)
SCI·KSCI 논문 제1·2저자 등재로 학계 인정
4. 믿을 수 있는 결과
특허·논문으로 입증된 과학적 수술 프로토콜
오스템 협력 네트워크로 최신 장비·재료 사용

정종현 원장 한눈에 보기
오스템 임플란트 코스 임상 지도의사
오스템 임플란트 연구 자문의
임플란트 강의 다수 참여
구강악안면외과 전문의
대학병원 임플란트 센터 근무 경력
임플란트 관련 국내 특허 보유 (특허등록번호 10-1736430)
미국 치과 학회지 SCI 임상논문 제 1저자 등재
국내 임플란트 학회지 KSCI 임상논문 제2저자 2편 등재
치과의사 커뮤니티 모어덴 선정 2022 최우수 교육 의사

풍부한 임상 경험과 연구로 검증된 정종현 원장이 안전하고 신뢰도 높은 임플란트 수술을 약속드립니다.

임플란트 수술
임플란트 수술, 왜 플란트구강악안면외과 치과의원일까?

1. 대학병원급 전문성
구강악안면외과 전문의 직접 집도
대학병원 임플란트 센터 근무 경력 → 풍부한 임상 경험
2. 교육·연구 리더십
오스템 임플란트 코스 임상 지도·연구 자문
다수 강의·세미나로 의사 교육 선도
2022 모어덴 커뮤니티 최우수 교육 의사 선정
3. 검증된 실력
임플란트 관련 국내 특허 보유 (10-1736430)
SCI·KSCI 논문 제1·2저자 등재로 학계 인정
4. 믿을 수 있는 결과
특허·논문으로 입증된 과학적 수술 프로토콜
오스템 협력 네트워크로 최신 장비·재료 사용

정종현 원장 한눈에 보기
오스템 임플란트 코스 임상 지도의사
오스템 임플란트 연구 자문의
임플란트 강의 다수 참여
구강악안면외과 전문의
대학병원 임플란트 센터 근무 경력
임플란트 관련 국내 특허 보유 (특허등록번호 10-1736430)
미국 치과 학회지 SCI 임상논문 제 1저자 등재
국내 임플란트 학회지 KSCI 임상논문 제2저자 2편 등재
치과의사 커뮤니티 모어덴 선정 2022 최우수 교육 의사

풍부한 임상 경험과 연구로 검증된 정종현 원장이 안전하고 신뢰도 높은 임플란트 수술을 약속드립니다.

임플란트 수술
임플란트 수술, 왜 플란트구강악안면외과 치과의원일까?

1. 대학병원급 전문성
구강악안면외과 전문의 직접 집도
대학병원 임플란트 센터 근무 경력 → 풍부한 임상 경험
2. 교육·연구 리더십
오스템 임플란트 코스 임상 지도·연구 자문
다수 강의·세미나로 의사 교육 선도
2022 모어덴 커뮤니티 최우수 교육 의사 선정
3. 검증된 실력
임플란트 관련 국내 특허 보유 (10-1736430)
SCI·KSCI 논문 제1·2저자 등재로 학계 인정
4. 믿을 수 있는 결과
특허·논문으로 입증된 과학적 수술 프로토콜
오스템 협력 네트워크로 최신 장비·재료 사용

정종현 원장 한눈에 보기
오스템 임플란트 코스 임상 지도의사
오스템 임플란트 연구 자문의
임플란트 강의 다수 참여
구강악안면외과 전문의
대학병원 임플란트 센터 근무 경력
임플란트 관련 국내 특허 보유 (특허등록번호 10-1736430)
미국 치과 학회지 SCI 임상논문 제 1저자 등재
국내 임플란트 학회지 KSCI 임상논문 제2저자 2편 등재
치과의사 커뮤니티 모어덴 선정 2022 최우수 교육 의사

풍부한 임상 경험과 연구로 검증된 정종현 원장이 안전하고 신뢰도 높은 임플란트 수술을 약속드립니다.

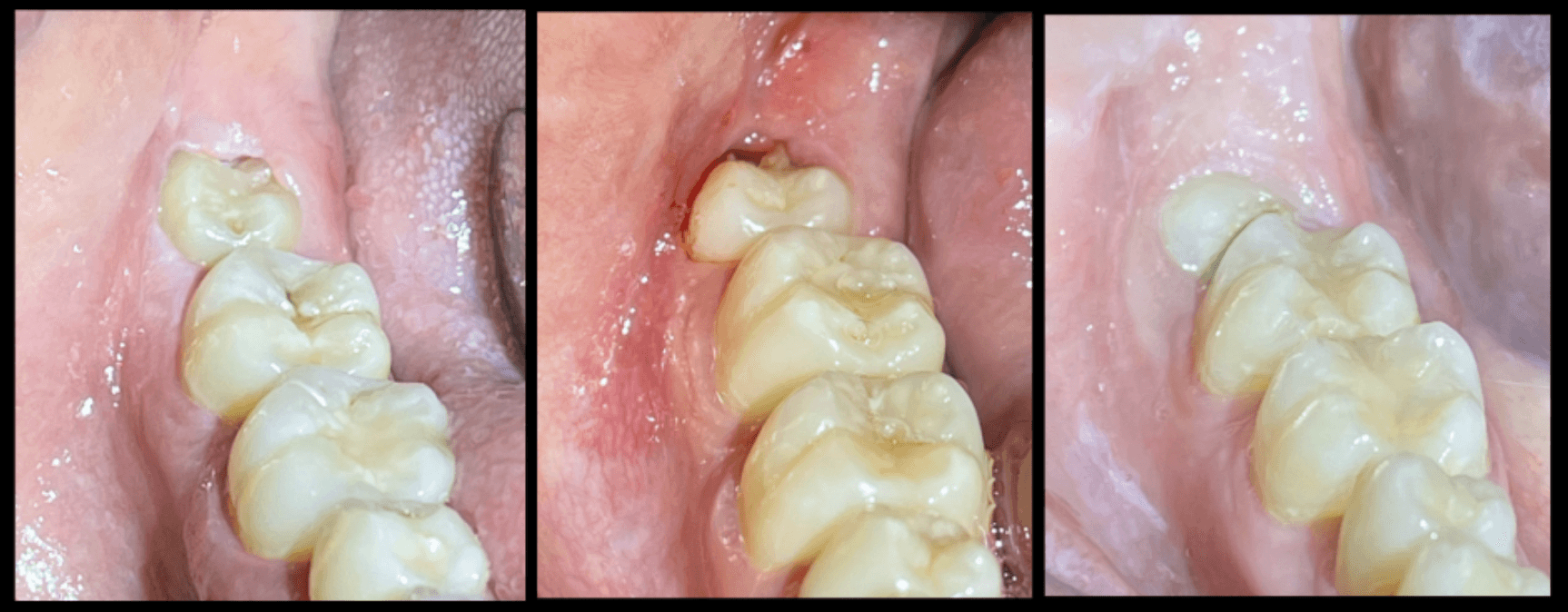
즉시 보철 임플란트
수술 당일, 임시 치아까지 완성하여 바로 일상생활이 가능합니다.

즉시 보철 임플란트는 임플란트 수술 후 잇몸이 아물기를 기다렸다가 보철물을 연결하는 기존 방식과 달리,
임플란트 식립과 동시에 임시 보철물(임시 치아)을 연결하여 바로 외모 개선 및 제한적인 저작 기능을 회복할 수 있도록 하는 치료 방법입니다.


즉시 보철 임플란트의 장점
치료 기간 대폭 단축: 여러 번 내원 NO
즉각 심미성 회복: 앞니 결손도 당일 커버
기능 유지: 부드러운 음식·발음 가능
잇몸 라인 보존: 자연스러운 최종 결과
수술 횟수↓: 발치·식립·임시 치아를 원스톱으로

하루면 끝! 즉시 보철 임플란트로 당일에 자신감과 생활 편의를 동시에 누리세요.

즉시 보철 임플란트
수술 당일, 임시 치아까지 완성하여 바로 일상생활이 가능합니다.

즉시 보철 임플란트는 임플란트 수술 후 잇몸이 아물기를 기다렸다가 보철물을 연결하는 기존 방식과 달리,
임플란트 식립과 동시에 임시 보철물(임시 치아)을 연결하여 바로 외모 개선 및 제한적인 저작 기능을 회복할 수 있도록 하는 치료 방법입니다.


즉시 보철 임플란트의 장점
치료 기간 대폭 단축: 여러 번 내원 NO
즉각 심미성 회복: 앞니 결손도 당일 커버
기능 유지: 부드러운 음식·발음 가능
잇몸 라인 보존: 자연스러운 최종 결과
수술 횟수↓: 발치·식립·임시 치아를 원스톱으로

하루면 끝! 즉시 보철 임플란트로 당일에 자신감과 생활 편의를 동시에 누리세요.

즉시 보철 임플란트
수술 당일, 임시 치아까지 완성하여 바로 일상생활이 가능합니다.

즉시 보철 임플란트는 임플란트 수술 후 잇몸이 아물기를 기다렸다가 보철물을 연결하는 기존 방식과 달리,
임플란트 식립과 동시에 임시 보철물(임시 치아)을 연결하여 바로 외모 개선 및 제한적인 저작 기능을 회복할 수 있도록 하는 치료 방법입니다.


즉시 보철 임플란트의 장점
치료 기간 대폭 단축: 여러 번 내원 NO
즉각 심미성 회복: 앞니 결손도 당일 커버
기능 유지: 부드러운 음식·발음 가능
잇몸 라인 보존: 자연스러운 최종 결과
수술 횟수↓: 발치·식립·임시 치아를 원스톱으로

하루면 끝! 즉시 보철 임플란트로 당일에 자신감과 생활 편의를 동시에 누리세요.

수면 치료(의식하 진정요법)
치과 공포, 수면 치료로 편안하게 해결하세요

치과 치료에 대한 두려움이나 긴장감 때문에 꼭 필요한 치료를 미루고 계신가요? 과거의 좋지 않은 경험, 심한 구역반사, 또는 장시간 치료가 어려워 치과 방문이 힘드셨던 분들도 많습니다.
이제 더 이상 두려움 때문에 치과 치료를 피하지 마세요. 본원에서는 이러한 환자분들을 위해 편안하고 안전하게 치과 치료를 받으실 수 있도록 수면 치료를 제공합니다.

수면 치료 (의식하 진정요법)란?
정맥/흡입 약물을 이용해 가수면 상태를 유도
스스로 호흡‧대화 가능 → 전신마취보다 안전
불안·통증·치과 기구 소리 인지를 현저히 감소

수면 치료(의식하 진정요법)는 이런 분들께 필요합니다
치료 생각만 해도 가슴이 뛰는 치과 공포증 환자
스피드·터빈 소리에 민감하거나 신경 예민한 분
심한 구역반사로 진료가 어려웠던 경험이 있는 분
임플란트·신경치료 등 장시간·다량 치료 예정인 분
소아·발달장애 등 치료 협조가 어려운 경우 (환자의 상태에 따라 적용 여부 결정)
치과 두려움 때문에 치료를 미루지 마세요.
편안하고 안전한 수면 치료로 건강한 치아와 자신 있는 미소를 되찾으세요!

수면 치료(의식하 진정요법)
치과 공포, 수면 치료로 편안하게 해결하세요

치과 치료에 대한 두려움이나 긴장감 때문에 꼭 필요한 치료를 미루고 계신가요? 과거의 좋지 않은 경험, 심한 구역반사, 또는 장시간 치료가 어려워 치과 방문이 힘드셨던 분들도 많습니다.
이제 더 이상 두려움 때문에 치과 치료를 피하지 마세요. 본원에서는 이러한 환자분들을 위해 편안하고 안전하게 치과 치료를 받으실 수 있도록 수면 치료를 제공합니다.

수면 치료 (의식하 진정요법)란?
정맥/흡입 약물을 이용해 가수면 상태를 유도
스스로 호흡‧대화 가능 → 전신마취보다 안전
불안·통증·치과 기구 소리 인지를 현저히 감소

수면 치료(의식하 진정요법)는 이런 분들께 필요합니다
치료 생각만 해도 가슴이 뛰는 치과 공포증 환자
스피드·터빈 소리에 민감하거나 신경 예민한 분
심한 구역반사로 진료가 어려웠던 경험이 있는 분
임플란트·신경치료 등 장시간·다량 치료 예정인 분
소아·발달장애 등 치료 협조가 어려운 경우 (환자의 상태에 따라 적용 여부 결정)
치과 두려움 때문에 치료를 미루지 마세요.
편안하고 안전한 수면 치료로 건강한 치아와 자신 있는 미소를 되찾으세요!

수면 치료(의식하 진정요법)
치과 공포, 수면 치료로 편안하게 해결하세요

치과 치료에 대한 두려움이나 긴장감 때문에 꼭 필요한 치료를 미루고 계신가요? 과거의 좋지 않은 경험, 심한 구역반사, 또는 장시간 치료가 어려워 치과 방문이 힘드셨던 분들도 많습니다.
이제 더 이상 두려움 때문에 치과 치료를 피하지 마세요. 본원에서는 이러한 환자분들을 위해 편안하고 안전하게 치과 치료를 받으실 수 있도록 수면 치료를 제공합니다.

수면 치료 (의식하 진정요법)란?
정맥/흡입 약물을 이용해 가수면 상태를 유도
스스로 호흡‧대화 가능 → 전신마취보다 안전
불안·통증·치과 기구 소리 인지를 현저히 감소

수면 치료(의식하 진정요법)는 이런 분들께 필요합니다
치료 생각만 해도 가슴이 뛰는 치과 공포증 환자
스피드·터빈 소리에 민감하거나 신경 예민한 분
심한 구역반사로 진료가 어려웠던 경험이 있는 분
임플란트·신경치료 등 장시간·다량 치료 예정인 분
소아·발달장애 등 치료 협조가 어려운 경우 (환자의 상태에 따라 적용 여부 결정)
치과 두려움 때문에 치료를 미루지 마세요.
편안하고 안전한 수면 치료로 건강한 치아와 자신 있는 미소를 되찾으세요!

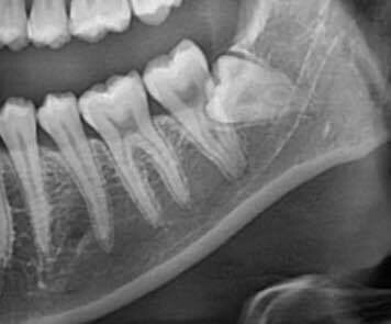
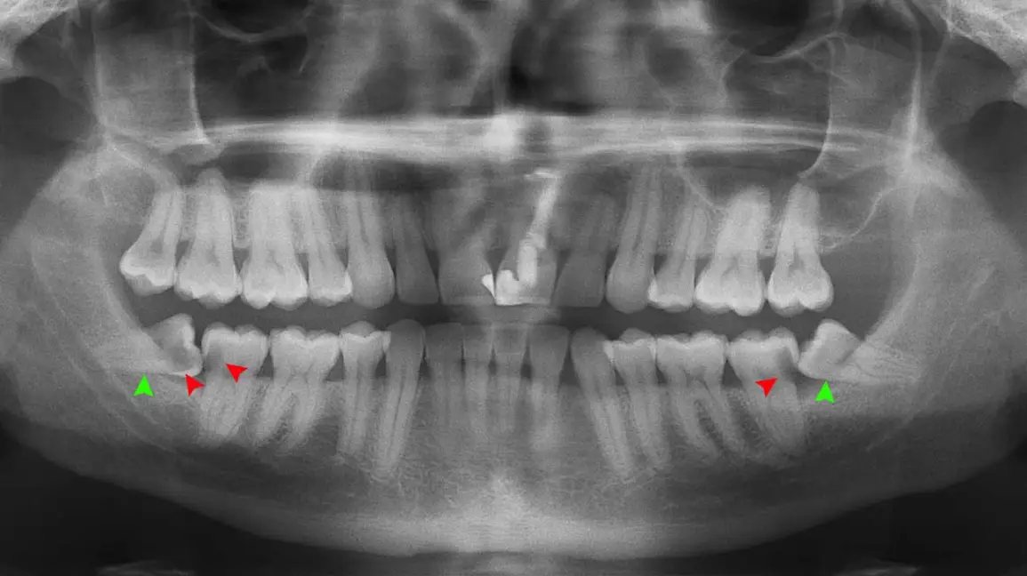
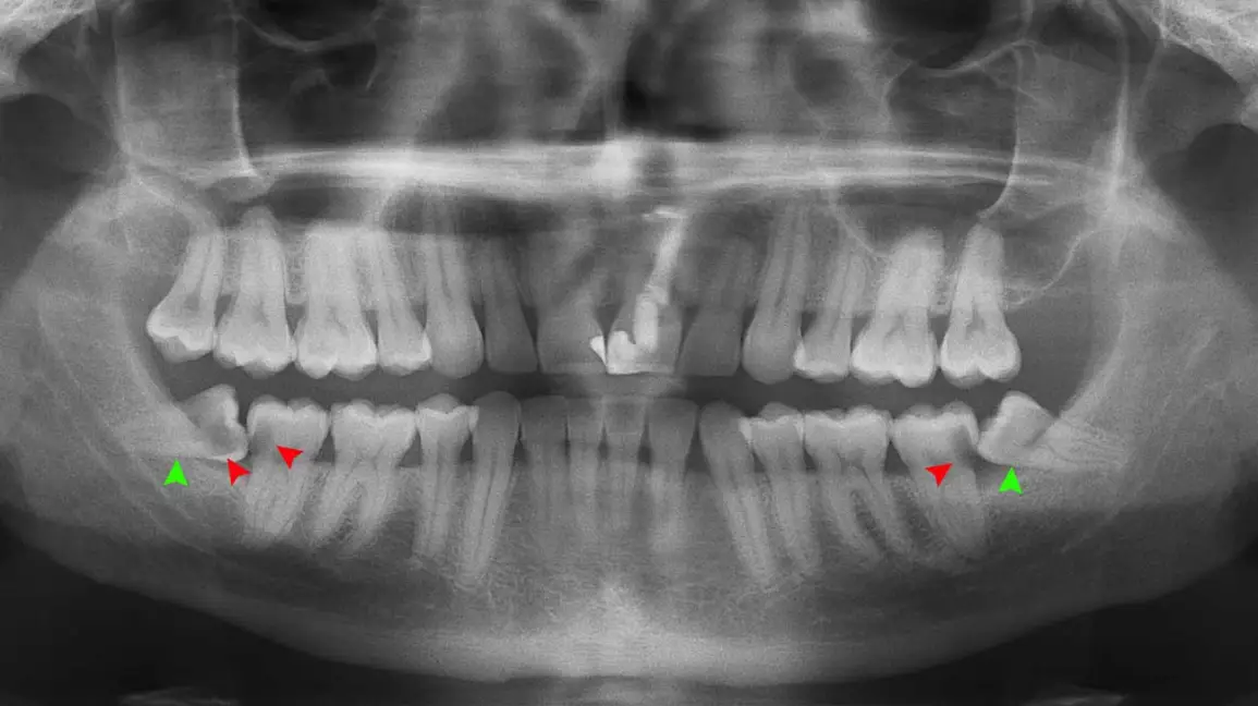
매복 사랑니 발치
매복 사랑니가 위험한 이유

비정상 각도·방향 → 옆 어금니 손상·충치
잇몸 염증·심한 통증 → 부기·발열·개구 장애
신경관 근접 → 방치 시 감각 이상 위험
매복 사랑니 발치, 왜 플란트구강악안면외과 치과일까요?

1. 10,000건 이상의 압도적인 임상 경험
저희 치과의 의료진은 대학병원에서의 풍부한 경험을 바탕으로 10,000건 이상의 사랑니 발치 케이스를 성공적으로 진행했습니다.
2. 통증 완화를 위한 체계적인 솔루션
충분하고 세심한 국소 마취: 발치 부위를 정밀하게 마취하여 시술 중 통증을 거의 느끼지 않도록 합니다.
최소 침습 발치 기법: 불필요한 절개나 삭제를 최소화하여 시술 후 통증과 부기를 줄입니다.
개인별 맞춤 통증 관리: 시술 후 발생할 수 있는 통증 완화를 위해 적절한 약 처방 및 사후 관리 안내를 제공합니다.

3. 신경 손상 최소화를 위한 정밀 진단 및 계획
3D CT를 활용한 정밀 진단: 발치 부위의 뼈 구조, 사랑니 뿌리의 형태, 신경관과의 거리 및 위치 등을 3차원적으로 정확하게 파악하여 신경 손상 가능성을 미리 예측하고 대비합니다.
개별 맞춤 발치 계획 수립: 정밀 진단 결과를 바탕으로 각 환자분의 케이스에 최적화된 발치 계획을 수립하고, 신경관의 위치를 고려한 안전한 각도와 방법으로 시술을 진행합니다.
숙련된 의료진의 섬세한 시술: 다년간의 경험과 숙련된 기술로 신경 구조물을 피해 안전하게 사랑니를 분리하고 발치합니다.
“경험이 만든 노하우, 정밀 장비가 만든 안전.”
플란트구강악안면외과 치과에서 통증·불안 없이 매복 사랑니를 깨끗이 해결하세요!

매복 사랑니 발치
매복 사랑니가 위험한 이유

비정상 각도·방향 → 옆 어금니 손상·충치
잇몸 염증·심한 통증 → 부기·발열·개구 장애
신경관 근접 → 방치 시 감각 이상 위험
매복 사랑니 발치, 왜 플란트구강악안면외과 치과일까요?

1. 10,000건 이상의 압도적인 임상 경험
저희 치과의 의료진은 대학병원에서의 풍부한 경험을 바탕으로 10,000건 이상의 사랑니 발치 케이스를 성공적으로 진행했습니다.
2. 통증 완화를 위한 체계적인 솔루션
충분하고 세심한 국소 마취: 발치 부위를 정밀하게 마취하여 시술 중 통증을 거의 느끼지 않도록 합니다.
최소 침습 발치 기법: 불필요한 절개나 삭제를 최소화하여 시술 후 통증과 부기를 줄입니다.
개인별 맞춤 통증 관리: 시술 후 발생할 수 있는 통증 완화를 위해 적절한 약 처방 및 사후 관리 안내를 제공합니다.

3. 신경 손상 최소화를 위한 정밀 진단 및 계획
3D CT를 활용한 정밀 진단: 발치 부위의 뼈 구조, 사랑니 뿌리의 형태, 신경관과의 거리 및 위치 등을 3차원적으로 정확하게 파악하여 신경 손상 가능성을 미리 예측하고 대비합니다.
개별 맞춤 발치 계획 수립: 정밀 진단 결과를 바탕으로 각 환자분의 케이스에 최적화된 발치 계획을 수립하고, 신경관의 위치를 고려한 안전한 각도와 방법으로 시술을 진행합니다.
숙련된 의료진의 섬세한 시술: 다년간의 경험과 숙련된 기술로 신경 구조물을 피해 안전하게 사랑니를 분리하고 발치합니다.
“경험이 만든 노하우, 정밀 장비가 만든 안전.”
플란트구강악안면외과 치과에서 통증·불안 없이 매복 사랑니를 깨끗이 해결하세요!

매복 사랑니 발치
매복 사랑니가 위험한 이유

비정상 각도·방향 → 옆 어금니 손상·충치
잇몸 염증·심한 통증 → 부기·발열·개구 장애
신경관 근접 → 방치 시 감각 이상 위험
매복 사랑니 발치, 왜 플란트구강악안면외과 치과일까요?

1. 10,000건 이상의 압도적인 임상 경험
저희 치과의 의료진은 대학병원에서의 풍부한 경험을 바탕으로 10,000건 이상의 사랑니 발치 케이스를 성공적으로 진행했습니다.
2. 통증 완화를 위한 체계적인 솔루션
충분하고 세심한 국소 마취: 발치 부위를 정밀하게 마취하여 시술 중 통증을 거의 느끼지 않도록 합니다.
최소 침습 발치 기법: 불필요한 절개나 삭제를 최소화하여 시술 후 통증과 부기를 줄입니다.
개인별 맞춤 통증 관리: 시술 후 발생할 수 있는 통증 완화를 위해 적절한 약 처방 및 사후 관리 안내를 제공합니다.

3. 신경 손상 최소화를 위한 정밀 진단 및 계획
3D CT를 활용한 정밀 진단: 발치 부위의 뼈 구조, 사랑니 뿌리의 형태, 신경관과의 거리 및 위치 등을 3차원적으로 정확하게 파악하여 신경 손상 가능성을 미리 예측하고 대비합니다.
개별 맞춤 발치 계획 수립: 정밀 진단 결과를 바탕으로 각 환자분의 케이스에 최적화된 발치 계획을 수립하고, 신경관의 위치를 고려한 안전한 각도와 방법으로 시술을 진행합니다.
숙련된 의료진의 섬세한 시술: 다년간의 경험과 숙련된 기술로 신경 구조물을 피해 안전하게 사랑니를 분리하고 발치합니다.
“경험이 만든 노하우, 정밀 장비가 만든 안전.”
플란트구강악안면외과 치과에서 통증·불안 없이 매복 사랑니를 깨끗이 해결하세요!

턱관절&이갈이 클리닉
턱관절 통증과 이갈이, 전문가의 솔루션으로 편안함을 되찾으세요

왜 문제일까요?
턱관절(TMJ) : 턱뼈-머리뼈를 잇는 관절 → 말하기·씹기 핵심
이갈이/악물기 : 수면 중 무의식적 근육 과긴장 → 관절·치아·근육 연쇄 손상

이런 신호가 있다면 치료가 필요합니다
턱에서 딱딱거리거나 모래 갈리는 소리가 난다.
입을 벌리거나 다물기가 불편하다.
턱‧얼굴 주변이 자주 아프다.
씹거나 말할 때 턱이 피로하고 불편하다.
두통이나 편두통이 잦다.
목‧어깨가 뻣뻣하게 결린다.

3-Step 맞춤 진료
① 정밀 진단
상세 문진과 구강·교합 검사
턱관절 기능 검사, 필요 시 X-ray·3D CT로 관절 위치·근육 상태를 입체 분석
데이터 기반으로 개인별 치료 로드맵 설계
② 근본 치료
정품 ‘나보타’ 보톡스: 과긴장된 턱 근육을 정밀 타깃해 통증·이갈이 완화
맞춤 스플린트(이갈이 장치): 관절 보호와 근육 이완을 동시에 달성
물리치료, 약물, 스트레칭, 자세·습관 교정 등 복합 처방
③ 지속 관리 & 재발 방지
주기적 근육·관절 체크로 보톡스 용량·스플린트 조정
수면·스트레스 관리 코칭으로 생활 속 근본 원인까지 해결
턱이 아프고, 자꾸 이를 갈아 잠에서 깨시나요?
전문가 솔루션으로 통증·소음·두통까지 한 번에 해결하고 편안한 일상과 건강한 턱관절을 되찾으세요!

턱관절&이갈이 클리닉
턱관절 통증과 이갈이, 전문가의 솔루션으로 편안함을 되찾으세요

왜 문제일까요?
턱관절(TMJ) : 턱뼈-머리뼈를 잇는 관절 → 말하기·씹기 핵심
이갈이/악물기 : 수면 중 무의식적 근육 과긴장 → 관절·치아·근육 연쇄 손상

이런 신호가 있다면 치료가 필요합니다
턱에서 딱딱거리거나 모래 갈리는 소리가 난다.
입을 벌리거나 다물기가 불편하다.
턱‧얼굴 주변이 자주 아프다.
씹거나 말할 때 턱이 피로하고 불편하다.
두통이나 편두통이 잦다.
목‧어깨가 뻣뻣하게 결린다.

3-Step 맞춤 진료
① 정밀 진단
상세 문진과 구강·교합 검사
턱관절 기능 검사, 필요 시 X-ray·3D CT로 관절 위치·근육 상태를 입체 분석
데이터 기반으로 개인별 치료 로드맵 설계
② 근본 치료
정품 ‘나보타’ 보톡스: 과긴장된 턱 근육을 정밀 타깃해 통증·이갈이 완화
맞춤 스플린트(이갈이 장치): 관절 보호와 근육 이완을 동시에 달성
물리치료, 약물, 스트레칭, 자세·습관 교정 등 복합 처방
③ 지속 관리 & 재발 방지
주기적 근육·관절 체크로 보톡스 용량·스플린트 조정
수면·스트레스 관리 코칭으로 생활 속 근본 원인까지 해결
턱이 아프고, 자꾸 이를 갈아 잠에서 깨시나요?
전문가 솔루션으로 통증·소음·두통까지 한 번에 해결하고 편안한 일상과 건강한 턱관절을 되찾으세요!

턱관절&이갈이 클리닉
턱관절 통증과 이갈이, 전문가의 솔루션으로 편안함을 되찾으세요

왜 문제일까요?
턱관절(TMJ) : 턱뼈-머리뼈를 잇는 관절 → 말하기·씹기 핵심
이갈이/악물기 : 수면 중 무의식적 근육 과긴장 → 관절·치아·근육 연쇄 손상

이런 신호가 있다면 치료가 필요합니다
턱에서 딱딱거리거나 모래 갈리는 소리가 난다.
입을 벌리거나 다물기가 불편하다.
턱‧얼굴 주변이 자주 아프다.
씹거나 말할 때 턱이 피로하고 불편하다.
두통이나 편두통이 잦다.
목‧어깨가 뻣뻣하게 결린다.

3-Step 맞춤 진료
① 정밀 진단
상세 문진과 구강·교합 검사
턱관절 기능 검사, 필요 시 X-ray·3D CT로 관절 위치·근육 상태를 입체 분석
데이터 기반으로 개인별 치료 로드맵 설계
② 근본 치료
정품 ‘나보타’ 보톡스: 과긴장된 턱 근육을 정밀 타깃해 통증·이갈이 완화
맞춤 스플린트(이갈이 장치): 관절 보호와 근육 이완을 동시에 달성
물리치료, 약물, 스트레칭, 자세·습관 교정 등 복합 처방
③ 지속 관리 & 재발 방지
주기적 근육·관절 체크로 보톡스 용량·스플린트 조정
수면·스트레스 관리 코칭으로 생활 속 근본 원인까지 해결
턱이 아프고, 자꾸 이를 갈아 잠에서 깨시나요?
전문가 솔루션으로 통증·소음·두통까지 한 번에 해결하고 편안한 일상과 건강한 턱관절을 되찾으세요!

다이렉트 투명 교정 치료
불편함은 줄이고, 효과적인 ODS 투명 교정 치과 치료

ODS 투명 교정 치과 치료, 어떻게 다를까요?
디지털 스캔 + 3D 프린팅
내 치아 데이터를 바로 출력해 단계별 맞춤 장치를 제작, 오차 ZERO.투명 & 자연스러운 미소
완전히 투명해 일상·사진·미팅에서도 티 안 나요.맞춤 설계로 편안함 UP
날카로운 철사·브라켓 대신 매끈한 소재로 자극과 통증 최소화.치료 기간 단축
중간 조정이 거의 없어 예약-내원 횟수와 전체 기간을 확 줄입니다.

기존 교정과 비교하면?
심미성 : 금속 X, 반투명 X → 완전 투명
착용감 : 불편함·상처 ↓
정밀도 : ㎜ 단위 이동 계획으로 더 정확
속도 : 단계별 장치 미리 제작, 빠른 치료 완료

이런 분께 추천 드립니다.
교정기가 보일까 걱정되는 직장인·취준생·학생
바쁜 일정으로 짧은 치료를 원하는 분
금속 교정기의 통증·자극이 두려운 분
불편함은 줄이고, 효과는 극대화한 다이렉트 투명 교정으로 편안하게 아름다운 치아 라인을 완성하세요.

다이렉트 투명 교정 치료
불편함은 줄이고, 효과적인 ODS 투명 교정 치과 치료

ODS 투명 교정 치과 치료, 어떻게 다를까요?
디지털 스캔 + 3D 프린팅
내 치아 데이터를 바로 출력해 단계별 맞춤 장치를 제작, 오차 ZERO.투명 & 자연스러운 미소
완전히 투명해 일상·사진·미팅에서도 티 안 나요.맞춤 설계로 편안함 UP
날카로운 철사·브라켓 대신 매끈한 소재로 자극과 통증 최소화.치료 기간 단축
중간 조정이 거의 없어 예약-내원 횟수와 전체 기간을 확 줄입니다.

기존 교정과 비교하면?
심미성 : 금속 X, 반투명 X → 완전 투명
착용감 : 불편함·상처 ↓
정밀도 : ㎜ 단위 이동 계획으로 더 정확
속도 : 단계별 장치 미리 제작, 빠른 치료 완료

이런 분께 추천 드립니다.
교정기가 보일까 걱정되는 직장인·취준생·학생
바쁜 일정으로 짧은 치료를 원하는 분
금속 교정기의 통증·자극이 두려운 분
불편함은 줄이고, 효과는 극대화한 다이렉트 투명 교정으로 편안하게 아름다운 치아 라인을 완성하세요.

다이렉트 투명 교정 치료
불편함은 줄이고, 효과적인 ODS 투명 교정 치과 치료

ODS 투명 교정 치과 치료, 어떻게 다를까요?
디지털 스캔 + 3D 프린팅
내 치아 데이터를 바로 출력해 단계별 맞춤 장치를 제작, 오차 ZERO.투명 & 자연스러운 미소
완전히 투명해 일상·사진·미팅에서도 티 안 나요.맞춤 설계로 편안함 UP
날카로운 철사·브라켓 대신 매끈한 소재로 자극과 통증 최소화.치료 기간 단축
중간 조정이 거의 없어 예약-내원 횟수와 전체 기간을 확 줄입니다.

기존 교정과 비교하면?
심미성 : 금속 X, 반투명 X → 완전 투명
착용감 : 불편함·상처 ↓
정밀도 : ㎜ 단위 이동 계획으로 더 정확
속도 : 단계별 장치 미리 제작, 빠른 치료 완료

이런 분께 추천 드립니다.
교정기가 보일까 걱정되는 직장인·취준생·학생
바쁜 일정으로 짧은 치료를 원하는 분
금속 교정기의 통증·자극이 두려운 분
불편함은 줄이고, 효과는 극대화한 다이렉트 투명 교정으로 편안하게 아름다운 치아 라인을 완성하세요.

잇몸 질환 치료
편안하고 효과적인 잇몸 질환 치료

잇몸이 보내는 SOS
양치할 때 피가 비치거나 붓는다
잇몸이 들뜬 듯하고 시린 느낌이 잦다
입 냄새가 심해지고 이 사이 음식물이 자주 낀다
치아가 흔들리거나 길어 보인다
이런 신호를 그대로 두면 잇몸뼈까지 파괴돼 결국 치아를 잃을 수 있습니다.

덜 아픈 잇몸 치료의 핵심, 에어폴리싱
고운 파우더·물·공기를 분사해 세균막(바이오필름)과 착색을 부드럽게 제거
칫솔이 닿기 어려운 잇몸선·치아 사이까지 깨끗하게 정돈
전통 기구 치료 때 느끼던 시림·진동·통증을 현저히 감소

체계적인 사후 관리 및 예방
올바른 양치·치실·가글 습관 코칭
3~6개월 주기 정기 검진으로 재발 차단
생활습관·식습관까지 점검해 장기적인 잇몸 건강 유지
잇몸 질환, 방치하지 마세요!
잇몸에서 작은 이상이 느껴진다면 미루지 마세요.
덜 아프고 편안한 에어폴리싱 치료로 건강한 잇몸, 튼튼한 치아를 지켜 드립니다.

잇몸 질환 치료
편안하고 효과적인 잇몸 질환 치료

잇몸이 보내는 SOS
양치할 때 피가 비치거나 붓는다
잇몸이 들뜬 듯하고 시린 느낌이 잦다
입 냄새가 심해지고 이 사이 음식물이 자주 낀다
치아가 흔들리거나 길어 보인다
이런 신호를 그대로 두면 잇몸뼈까지 파괴돼 결국 치아를 잃을 수 있습니다.

덜 아픈 잇몸 치료의 핵심, 에어폴리싱
고운 파우더·물·공기를 분사해 세균막(바이오필름)과 착색을 부드럽게 제거
칫솔이 닿기 어려운 잇몸선·치아 사이까지 깨끗하게 정돈
전통 기구 치료 때 느끼던 시림·진동·통증을 현저히 감소

체계적인 사후 관리 및 예방
올바른 양치·치실·가글 습관 코칭
3~6개월 주기 정기 검진으로 재발 차단
생활습관·식습관까지 점검해 장기적인 잇몸 건강 유지
잇몸 질환, 방치하지 마세요!
잇몸에서 작은 이상이 느껴진다면 미루지 마세요.
덜 아프고 편안한 에어폴리싱 치료로 건강한 잇몸, 튼튼한 치아를 지켜 드립니다.

잇몸 질환 치료
편안하고 효과적인 잇몸 질환 치료

잇몸이 보내는 SOS
양치할 때 피가 비치거나 붓는다
잇몸이 들뜬 듯하고 시린 느낌이 잦다
입 냄새가 심해지고 이 사이 음식물이 자주 낀다
치아가 흔들리거나 길어 보인다
이런 신호를 그대로 두면 잇몸뼈까지 파괴돼 결국 치아를 잃을 수 있습니다.

덜 아픈 잇몸 치료의 핵심, 에어폴리싱
고운 파우더·물·공기를 분사해 세균막(바이오필름)과 착색을 부드럽게 제거
칫솔이 닿기 어려운 잇몸선·치아 사이까지 깨끗하게 정돈
전통 기구 치료 때 느끼던 시림·진동·통증을 현저히 감소

체계적인 사후 관리 및 예방
올바른 양치·치실·가글 습관 코칭
3~6개월 주기 정기 검진으로 재발 차단
생활습관·식습관까지 점검해 장기적인 잇몸 건강 유지
잇몸 질환, 방치하지 마세요!
잇몸에서 작은 이상이 느껴진다면 미루지 마세요.
덜 아프고 편안한 에어폴리싱 치료로 건강한 잇몸, 튼튼한 치아를 지켜 드립니다.

충치 치료
One Day 인레이 – 하루 만에 끝내는 충치 치료

충치 치료, 더 이상 미루거나 두려워하지 마세요.
직장‧학교‧가사로 바쁜 요즘, 2-3회 내원은 큰 부담이 됩니다.
플란트구강악안면외과 치과는 3D 디지털 스캔+설계+밀링 시스템으로 인레이 제작-부착을 당일에 완료해 시간을 확 줄였습니다.

빠르지만, 정밀합니다
정확한 디지털 스캔으로 치아 형태를 ㎛ 단위까지 캡처
CAD/CAM 설계로 틈새 없이 맞춤 제작
세라믹 블록을 밀링해 색·투명도까지 자연스럽게 구현
의사가 즉시 적합도·교합을 확인하니 추가 조정 필요 거의 없음

One Day 인레이의 핵심 장점
시간 절약 | 단 한 번 방문으로 치료·복귀
높은 내구성 | 디지털 설계-가공으로 강도·정밀도 향상
심미성 | 치아 색상과 자연스럽게 어우러져 앞니도 OK
편리한 예약 | 탄력 스케줄 운영, 퇴근 후·주말 진료 가능
충치 때문에 스케줄을 비우기 어렵다면 One Day 인레이로 하루 만에 해결하세요.
용현동 플란트구강악안면외과 치과가 빠르고 정밀한 디지털 치료로 당신의 시간을 지켜드립니다.

충치 치료
One Day 인레이 – 하루 만에 끝내는 충치 치료

충치 치료, 더 이상 미루거나 두려워하지 마세요.
직장‧학교‧가사로 바쁜 요즘, 2-3회 내원은 큰 부담이 됩니다.
플란트구강악안면외과 치과는 3D 디지털 스캔+설계+밀링 시스템으로 인레이 제작-부착을 당일에 완료해 시간을 확 줄였습니다.

빠르지만, 정밀합니다
정확한 디지털 스캔으로 치아 형태를 ㎛ 단위까지 캡처
CAD/CAM 설계로 틈새 없이 맞춤 제작
세라믹 블록을 밀링해 색·투명도까지 자연스럽게 구현
의사가 즉시 적합도·교합을 확인하니 추가 조정 필요 거의 없음

One Day 인레이의 핵심 장점
시간 절약 | 단 한 번 방문으로 치료·복귀
높은 내구성 | 디지털 설계-가공으로 강도·정밀도 향상
심미성 | 치아 색상과 자연스럽게 어우러져 앞니도 OK
편리한 예약 | 탄력 스케줄 운영, 퇴근 후·주말 진료 가능
충치 때문에 스케줄을 비우기 어렵다면 One Day 인레이로 하루 만에 해결하세요.
용현동 플란트구강악안면외과 치과가 빠르고 정밀한 디지털 치료로 당신의 시간을 지켜드립니다.

충치 치료
One Day 인레이 – 하루 만에 끝내는 충치 치료

충치 치료, 더 이상 미루거나 두려워하지 마세요.
직장‧학교‧가사로 바쁜 요즘, 2-3회 내원은 큰 부담이 됩니다.
플란트구강악안면외과 치과는 3D 디지털 스캔+설계+밀링 시스템으로 인레이 제작-부착을 당일에 완료해 시간을 확 줄였습니다.

빠르지만, 정밀합니다
정확한 디지털 스캔으로 치아 형태를 ㎛ 단위까지 캡처
CAD/CAM 설계로 틈새 없이 맞춤 제작
세라믹 블록을 밀링해 색·투명도까지 자연스럽게 구현
의사가 즉시 적합도·교합을 확인하니 추가 조정 필요 거의 없음

One Day 인레이의 핵심 장점
시간 절약 | 단 한 번 방문으로 치료·복귀
높은 내구성 | 디지털 설계-가공으로 강도·정밀도 향상
심미성 | 치아 색상과 자연스럽게 어우러져 앞니도 OK
편리한 예약 | 탄력 스케줄 운영, 퇴근 후·주말 진료 가능
충치 때문에 스케줄을 비우기 어렵다면 One Day 인레이로 하루 만에 해결하세요.
용현동 플란트구강악안면외과 치과가 빠르고 정밀한 디지털 치료로 당신의 시간을 지켜드립니다.

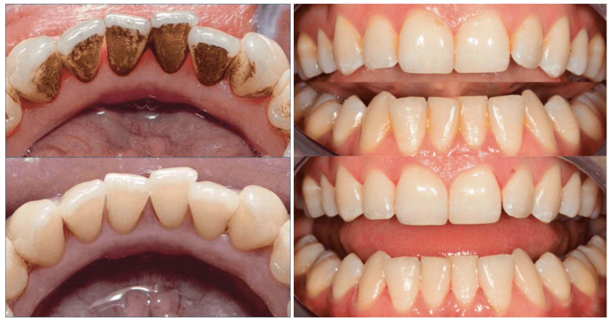
착색 치아 미백 치료
에어 폴리싱, 빠르고 부드러운 착색 제거 솔루션

에어 폴리싱이란?
에어 폴리싱은 치아 표면의 착색과 치석을 제거하기 위해 사용하는 최신 치과 치료 방법입니다. 이 방법은 물, 공기, 그리고 아주 미세한 분말을 치아 표면에 분사하여 치아 표면의 오염 물질을 효과적으로 제거합니다.

왜 전문가 치아 미백 치료를 선택해야 할까요?
치과에서 의료진의 관리 하에 진행되는 전문가 치아 미백은 식약처의 승인을 받은 안전한 고농도 미백제를 사용하여 더욱 빠르고 효과적인 결과를 얻을 수 있습니다. 치아 상태에 대한 정확한 진단과 개인 맞춤 시술을 통해 안전성을 높이고 부작용 발생 가능성을 줄입니다.
일반적인 스케일링과 달리, 치아와 잇몸에 더욱 부드럽게 작용하여 통증이 적고, 더욱 효과적입니다.

이런 분들께 추천합니다
빠른 시간 안에 치아 색 개선을 원하는 분
중요한 면접, 결혼식 등 특별한 일을 앞둔 분
흡연, 커피 등으로 인한 치아 착색이 심한 분
자가 미백으로 효과를 보지 못했거나 안전성이 걱정되는 분
치아 미백 치료는 현재 충치나 잇몸 질환이 있는 경우에는 해당 치료를 먼저 진행해야 하며, 모든 변색 케이스에 동일한 효과를 보이지 않을 수 있으므로 반드시 의료진과의 상담이 필요합니다.

착색 치아 미백 치료
에어 폴리싱, 빠르고 부드러운 착색 제거 솔루션

에어 폴리싱이란?
에어 폴리싱은 치아 표면의 착색과 치석을 제거하기 위해 사용하는 최신 치과 치료 방법입니다. 이 방법은 물, 공기, 그리고 아주 미세한 분말을 치아 표면에 분사하여 치아 표면의 오염 물질을 효과적으로 제거합니다.

왜 전문가 치아 미백 치료를 선택해야 할까요?
치과에서 의료진의 관리 하에 진행되는 전문가 치아 미백은 식약처의 승인을 받은 안전한 고농도 미백제를 사용하여 더욱 빠르고 효과적인 결과를 얻을 수 있습니다. 치아 상태에 대한 정확한 진단과 개인 맞춤 시술을 통해 안전성을 높이고 부작용 발생 가능성을 줄입니다.
일반적인 스케일링과 달리, 치아와 잇몸에 더욱 부드럽게 작용하여 통증이 적고, 더욱 효과적입니다.

이런 분들께 추천합니다
빠른 시간 안에 치아 색 개선을 원하는 분
중요한 면접, 결혼식 등 특별한 일을 앞둔 분
흡연, 커피 등으로 인한 치아 착색이 심한 분
자가 미백으로 효과를 보지 못했거나 안전성이 걱정되는 분
치아 미백 치료는 현재 충치나 잇몸 질환이 있는 경우에는 해당 치료를 먼저 진행해야 하며, 모든 변색 케이스에 동일한 효과를 보이지 않을 수 있으므로 반드시 의료진과의 상담이 필요합니다.

착색 치아 미백 치료
에어 폴리싱, 빠르고 부드러운 착색 제거 솔루션

에어 폴리싱이란?
에어 폴리싱은 치아 표면의 착색과 치석을 제거하기 위해 사용하는 최신 치과 치료 방법입니다. 이 방법은 물, 공기, 그리고 아주 미세한 분말을 치아 표면에 분사하여 치아 표면의 오염 물질을 효과적으로 제거합니다.

왜 전문가 치아 미백 치료를 선택해야 할까요?
치과에서 의료진의 관리 하에 진행되는 전문가 치아 미백은 식약처의 승인을 받은 안전한 고농도 미백제를 사용하여 더욱 빠르고 효과적인 결과를 얻을 수 있습니다. 치아 상태에 대한 정확한 진단과 개인 맞춤 시술을 통해 안전성을 높이고 부작용 발생 가능성을 줄입니다.
일반적인 스케일링과 달리, 치아와 잇몸에 더욱 부드럽게 작용하여 통증이 적고, 더욱 효과적입니다.

이런 분들께 추천합니다
빠른 시간 안에 치아 색 개선을 원하는 분
중요한 면접, 결혼식 등 특별한 일을 앞둔 분
흡연, 커피 등으로 인한 치아 착색이 심한 분
자가 미백으로 효과를 보지 못했거나 안전성이 걱정되는 분
치아 미백 치료는 현재 충치나 잇몸 질환이 있는 경우에는 해당 치료를 먼저 진행해야 하며, 모든 변색 케이스에 동일한 효과를 보이지 않을 수 있으므로 반드시 의료진과의 상담이 필요합니다.

미세현미경 신경치료
자연치아를 끝까지 지키는 정밀 솔루션

신경치료가 필요한 순간
치아 속 신경(치수)이 충치·균 감염·외상으로 손상되면 극심한 통증이 시작됩니다. 신경치료(근관치료)는 이 감염된 신경과 혈관을 제거‧소독해 발치 대신 치아를 보존하는 마지막 방법입니다.

왜 ‘미세 현미경’이 중요한가요?
육안의 한계를 넘는 최대 25배 확대 시야로, 뿌리 끝까지 환히 들여다보며 치료합니다.
정밀 진단 – 눈에 보이지 않던 잔존 감염·미세 균열까지 포착
오차 없는 치료 – 머리카락 굵기보다 가는 세근관도 깔끔히 청소·형성
재발 차단 – 감염 부위를 완전히 제거하고 밀폐해 실패율을 대폭 감소

미세 현미경 신경치료의 핵심 장점
높은 성공률 : ㎛ 단위 정밀 시술로 재치료 확률 최소화
치료 시간 단축 : 정확도가 높아 불필요한 내원·재시술을 줄임
통증·부작용 감소 : 손상 조직만 선택적으로 제거해 회복이 빠름
자연치아 보존 극대화 : 뿌리 구조를 최대한 보존해 수명 연장
자연치아는 인공치아보다 더 소중합니다.
미세 현미경 신경치료로 통증을 잡고, 치아를 끝까지 지켜 드립니다.

미세현미경 신경치료
자연치아를 끝까지 지키는 정밀 솔루션

신경치료가 필요한 순간
치아 속 신경(치수)이 충치·균 감염·외상으로 손상되면 극심한 통증이 시작됩니다. 신경치료(근관치료)는 이 감염된 신경과 혈관을 제거‧소독해 발치 대신 치아를 보존하는 마지막 방법입니다.

왜 ‘미세 현미경’이 중요한가요?
육안의 한계를 넘는 최대 25배 확대 시야로, 뿌리 끝까지 환히 들여다보며 치료합니다.
정밀 진단 – 눈에 보이지 않던 잔존 감염·미세 균열까지 포착
오차 없는 치료 – 머리카락 굵기보다 가는 세근관도 깔끔히 청소·형성
재발 차단 – 감염 부위를 완전히 제거하고 밀폐해 실패율을 대폭 감소

미세 현미경 신경치료의 핵심 장점
높은 성공률 : ㎛ 단위 정밀 시술로 재치료 확률 최소화
치료 시간 단축 : 정확도가 높아 불필요한 내원·재시술을 줄임
통증·부작용 감소 : 손상 조직만 선택적으로 제거해 회복이 빠름
자연치아 보존 극대화 : 뿌리 구조를 최대한 보존해 수명 연장
자연치아는 인공치아보다 더 소중합니다.
미세 현미경 신경치료로 통증을 잡고, 치아를 끝까지 지켜 드립니다.

미세현미경 신경치료
자연치아를 끝까지 지키는 정밀 솔루션

신경치료가 필요한 순간
치아 속 신경(치수)이 충치·균 감염·외상으로 손상되면 극심한 통증이 시작됩니다. 신경치료(근관치료)는 이 감염된 신경과 혈관을 제거‧소독해 발치 대신 치아를 보존하는 마지막 방법입니다.

왜 ‘미세 현미경’이 중요한가요?
육안의 한계를 넘는 최대 25배 확대 시야로, 뿌리 끝까지 환히 들여다보며 치료합니다.
정밀 진단 – 눈에 보이지 않던 잔존 감염·미세 균열까지 포착
오차 없는 치료 – 머리카락 굵기보다 가는 세근관도 깔끔히 청소·형성
재발 차단 – 감염 부위를 완전히 제거하고 밀폐해 실패율을 대폭 감소

미세 현미경 신경치료의 핵심 장점
높은 성공률 : ㎛ 단위 정밀 시술로 재치료 확률 최소화
치료 시간 단축 : 정확도가 높아 불필요한 내원·재시술을 줄임
통증·부작용 감소 : 손상 조직만 선택적으로 제거해 회복이 빠름
자연치아 보존 극대화 : 뿌리 구조를 최대한 보존해 수명 연장
자연치아는 인공치아보다 더 소중합니다.
미세 현미경 신경치료로 통증을 잡고, 치아를 끝까지 지켜 드립니다.

인천 용현동 숭의역 1번 출구 치과
플란트구강악안면외과치과에서 건강한 미소를 되찾아보세요.
여러분의 미소가 더욱 밝게 빛날 수 있도록, 함께하겠습니다.
진료 시간 안내
월요일
10:00 - 20:00
화요일
10:00 - 19:00
수요일
14:00 - 19:00
목요일
10:00 - 20:00
금요일
10:00 - 19:00
토요일
10:00 - 14:00
CONTACT
032-885-7528
인천 미추홀구 아암대로 15 인하한양아이클래스 2층 209호
(숭의역 1번 출구)
예약하기
© 2025 플란트구강악안면외과치과, All rights reserved.

인천 용현동 숭의역 1번 출구 치과
플란트구강악안면외과치과에서
건강한 미소를 되찾아보세요.
여러분의 미소가 더욱 밝게 빛날 수
있도록, 함께하겠습니다.
진료 시간 안내
월요일
10:00 - 20:00
화요일
10:00 - 19:00
수요일
14:00 - 19:00
목요일
10:00 - 20:00
금요일
10:00 - 19:00
토요일
10:00 - 14:00
CONTACT
032-885-7528
인천 미추홀구 아암대로 15 인하한양아이클래스 2층 209호
(숭의역 1번 출구)
예약하기
© 2025 플란트구강악안면외과치과, All rights reserved.
